




- це захворювання ясен, проявляється у вигляді виразок та інших запальних елементів. Зустрічається у дітей та дорослих.
Найголовніше - вчасно виявити на початковому етапі. Лікування триває 4-14 днів на початковому етапі, а запущену форму лікують комплексно, витрачаючи більше часу та зусиль.
Приходьте на огляд до стоматолога 2 рази на рік, і уникніть стоматиту та його наслідків!

Це захворювання, яке відрізняється відсутністю запалення та характеризується поступовим руйнуванням тканин пародонту. Його характерною особливістю є глибоке ураження, що може призвести до втрати зубів.
Лише 2-8% пацієнтів стикаються з пародонтозом. У відміну від пародонтиту, це захворювання не пов'язане з неправильною гігієною порожнини рота та інфекцією.
Лікування пародонтозу залежить від стадії хвороби та індивідуальних особливостей пацієнта. Призначення лікування визначається лікарем після проведення огляду та діагностичного обстеження.
Тому, виявивши перші ознаки хвороби, рекомендується швидко звернутися до фахівця, щоб запобігти серйозним наслідкам.

- це запалення тканин, які утримують у щелепі, часто виникаюче після гінгівіту. На початковому етапі можливе підвищене відкладення зубного каменю, яке вимагає своєчасного лікування.
Щоб уникнути серйозних наслідків, важливо виявити пародонтит на ранній стадії. Ігнорування лікування може призвести до глибокого ураження тканин пародонту, що може вплинути на стабільність зубів та призвести до їх втрати.

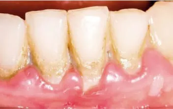
- це поверхневе запалення крайової частини ясен та міжзубних сосочків, яке може бути гострим або хронічним. Зустрічається у всіх вікових груп.
Важливо виявити та лікувати гінгівіт на ранній стадії, оскільки без лікування він може перерости у пародонтит, що загрожує втратою зуба.

Куріння та звичка гризти тверді предмети.
Порушення гормонального фону.
Низька якість коронок і пломб.
Цукровий діабет.
Хвороби кишечника. Неправильний і низькоякісний догляд за порожниною рота.
Механічні пошкодження ясен та язика.
Порушення ендокринної системи.
Алергічна реакція на їжу чи ліки. Спадкова схильність до захворювань.
Слабкість імунітету, інфекція ВІЛ.
Непрофесійна протезування.
Виникнення зуду
Виникнення виразок, верх яких покритий білою плівкою
Підвищення слиноутворення та виявлення неприємного запаху з рота.
Болісні відчуття при доторканні до запалення.
У запущеному етапі спостерігається підвищення температури, загальна слабкість.
Підвищена чутливість зубів.
Поява жовтого нальоту на зубах, супроводжується кровоточивістю ясен.
Підвищена рухливість зубів та їх оголення.

Всі наші лікарі мають сертифікати від провідних клінік України та за кордоном.
Стоматологи в DCDS мають багаторічний досвід роботи (від 8 до 30 років).
Ми пишаємося чесними відгуками наших пацієнтів на незалежних ресурсах.

У нас працюють тільки досвідчені лікарі, які володіють усіма сучасними методиками лікування.

Наш головний пріоритет - врятувати ваші зуби. Ми не нав'язуємо непотрібні послуги та процедури.

Лікарі регулярно підвищують свою кваліфікацію, проходячи навчання у провідних фахівців.

Ми напряму працюємо з виробниками, що гарантує вам найвищу якістьу процесі лікування.
Лікування стоматиту визначається типом інфекції. При грибковій або бактеріальній формі застосовуються протимікробні засоби, в той час як герпетичну форму лікують антивірусними препаратами. Застосування розчинів, спрямованих на знищення інфекції та зняття дискомфорту, є також частиною комплексного лікування.
Паралельно з медикаментозним лікуванням рекомендується домашній догляд, включаючи полоскання.
Не рекомендується самостійно лікувати стоматит вдома, оскільки неправильний вибір засобів може призвести до небажаного ефекту.

Діагностика та персональна консультація: на цьому етапі стоматолог виконує ретельний візуальний огляд, збирає анамнез та проводить діагностику, аналізуючи отримані дані. Враховуючи цю інформацію, лікар визначає ступінь пародонтозу та розробляє індивідуальний план дій.
Професійна гігієна: перед початком лікування лікар проводить видалення м'якого та твердого нальоту.
Санація рота: лікується карієс для уникнення ризику інфекції перед проведенням основного лікування.
Медикаментозне лікування: включає комплекс заходів, спрямованих на зупинку дистрофії ясен. Це включає прийом ліків, домашній догляд та фізіотерапевтичні процедури для підсилення кровообігу та відновлення обмінних процесів.
Хірургічний метод: цей метод дозволяє зупинити прогресування захворювання, навіть у запущеній стадії. Він включає видалення запаленої тканини та встановлення синтетичного матеріалу для відновлення кісткової тканини. Хірургічний метод призначається за показаннями у випадках, коли інші методи не дають ефективних результатів.

Діагностика та особиста консультація: Лікар проводить ретельний візуальний огляд, збирає анамнез та виконує діагностику для аналізу отриманих даних.
Професійна гігієна: Перед лікуванням важливо видалити м'який і твердий наліт, що сприяє поширенню інфекції. Рекомендується професійна гігієна двічі на рік.
Санація ротової порожнини: Медичні заходи спрямовані на зняття запалення, такі як прийом антибіотиків, промивання ясен та домашній догляд професійними зубними пастами. В окремих випадках можуть знадобитися більш серйозні заходи.
Хірургічний метод: Хірургічне втручання - радикальний метод, що дозволяє зупинити прогрес пародонтиту, навіть на запущеному етапі. Це включає видалення запаленої тканини та наступну посадку кісткової тканини із синтетичного матеріалу. Призначається за показаннями, коли медикаментозне лікування не приносить ефективних результатів.

Методика терапії визначається формою розвитку хвороби, складністю ситуації та індивідуальними особливостями кожного пацієнта. Гострий гінгівіт може бути успішно вилікований протягом 1,5-2 тижнів, в той час як хронічна форма вимагає більш продовженого лікування.
Часто необхідно провести лікування карієсу для ефективного видалення осередків інфекції. Професійна гігієна зубів є обов'язковим етапом, спрямованим на видалення нальоту та зубного каменю. Лікування захворювань ясен передбачає комплексний підхід, що включає в себе прийом медикаментозних препаратів та домашній догляд.
Під чуйним контролем лікаря цей комплексний підхід призводить до швидких та стійких результатів, помітних уже протягом першого тижня лікування.




залиште свої дані у формі
з вами зв’яжеться наш менеджер, розповість про умови, вартість та запише на прийом
консультація займає від 20 до 40 хвилин та дає відповіді на всі ваші запитання

Лікування ясен, включаючи подолання нориць, є складним процесом, який потребує комплексного підходу. Здоров'я ясен найкраще відновлювати, поєднуючи професійні методи з домашнім доглядом. Використання тільки народних засобів може бути неефективним і навіть ризикованим, може призвести до подальшого загострення захворювання.
Лікар-стоматолог надає рекомендації з ефективного домашнього догляду, спеціально адаптованого до вашої ситуації, що сприятиме швидкому відновленню. Для отримання деталей і запису на консультацію звертайтеся до наших фахівців.
Перші ознаки, такі як кровоточивість, запалення чи біль, повинні бути причиною для візиту до стоматолога.
Так, здорове харчування, багате вітамінами та мінералами, сприяє зміцненню ясен та опередженню будь-якої хвороби.
Домашній догляд є важливим, але при ознаках будь-якої хвороби важливо консультуватися з лікарем для ефективного лікування.
Гінгівіт характеризується запаленням ясен, тоді як пародонтит вже впливає на глибокі тканини, може викликати втрату зубів.
Для самостійного догляду важливо правильно чистити зуби, використовувати м'яку щітку, регулярно проводити профілактичне полоскання та уникати самолікування.
Серед основних симптомів гінгівіту можуть бути червоні та опухлі ясна, кровоточивість при чищенні, неприємний запах з рота.